Lodaer Img

Our Services

It is an Orthopaedics hospital providing comprehensive care related to musculoskeletal system which includes

round-img
About Us

Welcome to Orthopaedics Hospital

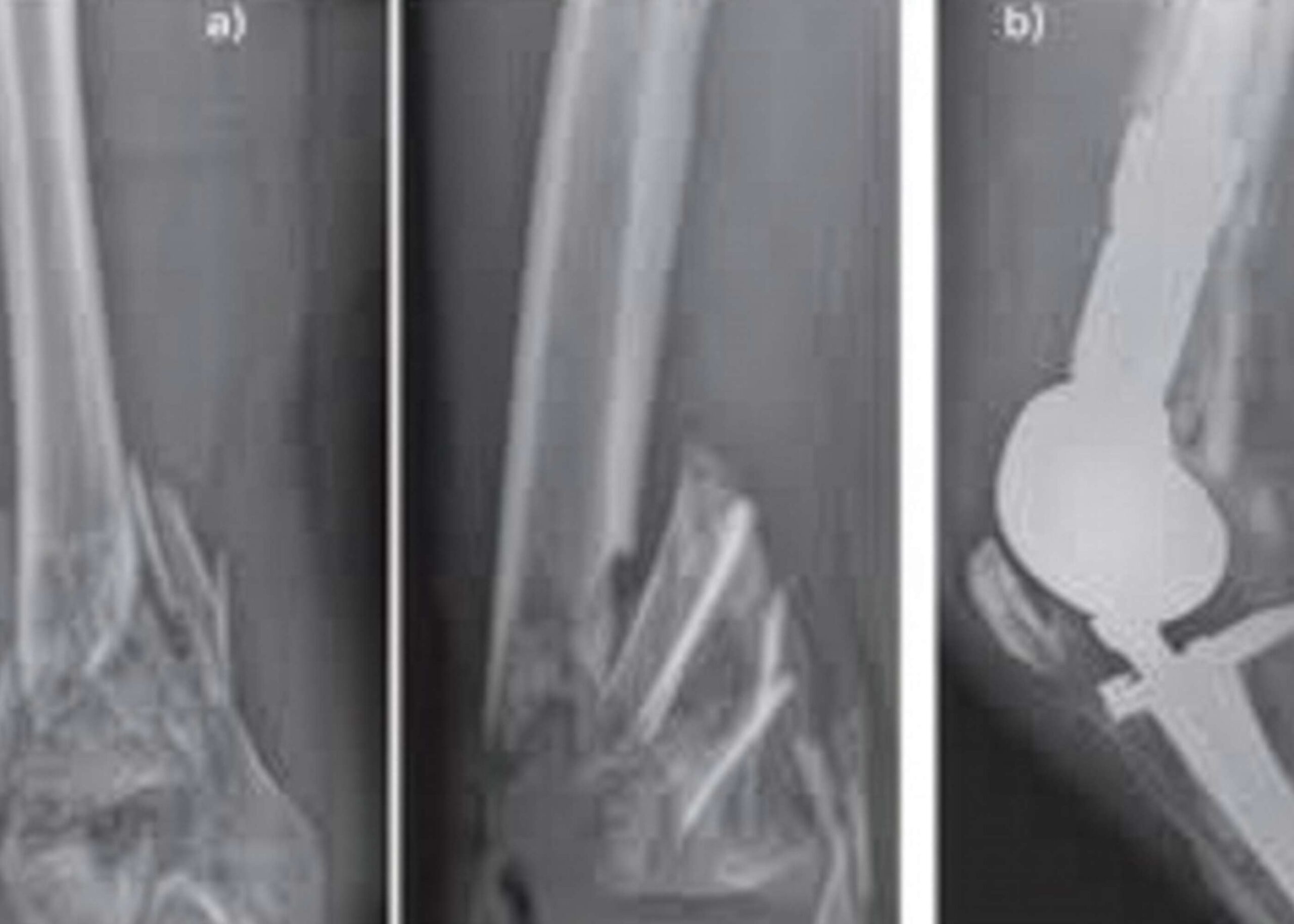
Treating Geriatric fractures has become speciality sort of thing. We can proudly say that we have made many nannies and grannies live dignified life by operating upon them and making them independent again. Yes we got lots of blessings in return. Still we as a team as a family felt little less satisfied.

Dr. Roshan Utekar
sign

Patient Guide

The outpatient department (OPD) caters 200 patients weekly. That ensures adequate time to have proper history taking and thorough examination to arrive at correct diagnosis, reduce cost of investigations to rule out differential diagnosis. Dedicated receptionist to channelise the patients and dedicated staff who helps in smooth management.

Gallery

Watch the Stories of Recovery

1174 +
Happy Patients
Image

Video

Neurologist
Image

Video 02

Neurologist
Image

Video 03

Neurologist
Image

Video 04

Neurology